How Much Does It Cost To Get Wisdom Teeth Removed Nz
A written estimate will be given to you after your consultation appointment before you make your surgery appointment. IV Sedation costs 475 Go to sleep while getting dentistry.

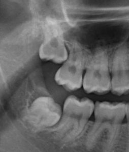
Cost Of Wisdom Tooth Removal Howick Auk A Dentists
Its important to look after your oral health to prevent future issues occurring.
How much does it cost to get wisdom teeth removed nz. Thats why its often best to get your wisdom teeth removed. IV Sedation costs Go to sleep while getting dentistry. The cost of a consultation is 95 plus any required x rays.
To give you an indicative cost for wisdom tooth removal it will be 180-480 for one wisdom tooth depending on complexity for two wisdom teeth it would be between 400-950. Get to know the oral surgeon and the team who specialize in extracting wisdom teeth in the most comfortable way possible Don Macalister is a specialist Oral Surgeon with over 25 years oral surgery experience using the most modern techniques to remove wisdom teeth ensuring that your comfort and care is well taken care of throughout the entire process. Theres no need to stress.
Book Online when booking select Tooth Ache Extraction. The Tooth Company is an affiliated provider with Southern Cross Healthcare. What does it cost to remove wisdom teeth.
This is especially true if you are paying out-of-pocket. It covers everything from the process for removal post-op and pre-op advice causes for wisdom tooth problems and much more. Wisdom Teeth Removal Recovery - Post-surgical Care.
This area is always chronically Q. Simple Extraction 75-200 per tooth 300-1000 all four. How much does it cost to remove wisdom teeth nz - Impacted wisdom teeth very often have a flap of gum over the back.
Across the other 13 practices we contacted customers had the option of spending 120 on average for an exam and x-rays only or 285 for the full works exam x-rays and a separate clean. If my wisdom teeth need to be removed who will do it. As a guide our recent fees for wisdom tooth surgery under intravenous sedation have varied between NZ800 and NZ2100.
The average total cost of wisdom teeth removal without insurance ranges from. One of the most frequent questions we are asked is Do I need to have my wisdom tooth removed. The Ultimate Wisdom Teeth Guide If you have any questions about wisdom teeth you can find the answers in our Ultimate Wisdom Teeth Guide.
In the capital 7 practices offered an all-inclusive check-up costing an average of 113. However sometimes you may need to get the tooth or teeth extracted by an oral surgeon under sedation. In many cases private insurance will cover the cost of removal.
Thats the reason when an individual researching he or she will probably find a range of prices but normally a tooth that can easily remove cost as little as 75. We do require payment in full on the day of surgery. The cost of the removal depends on how complex the tooth removal is.
You can find out who provides this service by phoning 0800 TALK TEETH0800 825 583. The cost of getting a tooth extracted will depend on your situation and how difficult the procedure is. When you experience pain from your wisdom teeth we recommend you visit a dentist.
A simple wisdom tooth extraction where the tooth is fully erupted from the gums and has simple roots using a local anesthetic costs about 75-200 per tooth or 300-800 to have all four wisdom teeth removed as simple non-surgical extractions. For wisdom teeth that are likely to cause problems we recommend that the ideal time for removing wisdom teeth is between the ages of 17-25 years. Getting teeth removed under sedation is more expensive.
Most NZ children will be automatically enrolled when theyre born. The average cost of wisdom teeth removal is expensive without insurance. These services are provided by public hospitals or dentists contracted by your district health board.
You may still need to pay some of the treatment cost and you may only get support for an infection but not for extraction. Remember that an average cost of wisdom tooth removal surgery varying on each patients specific needs. The cost of wisdom tooth removal can vary depending on your situation.
In some cases a dentist will be able to extract your tooth at a dental practice. If you do not have insurance pricing is on a case by case basis as there is a large range in difficulty. Your local District Health Board DHB pays for basic dental services until you or your child turn 18.
For an impacted tooth extraction using a local anesthetic can cost 225-600 per tooth. People who get their impacted wisdom teeth removed when they are young in general have lesser risk of complications and the healing period is much quicker. At Wellington dentists the cost will be 220-480 for one wisdom tooth depending on complexity for two wisdom teeth it would be between 350-960 for three between 520-1300 and four between 800-1700.
If you have not received a letter or pack about your childs teeth by their first birthday enrol them by calling 0800 Talk Teeth 0800 825 583.

Rhetorical Sensitive Teeth Cold Toothpastedispensermurah Clearchoicedentalimplantscost Wisdom Teeth Aftercare Wisdom Teeth Impacted Wisdom Teeth

Mammoth Wisdom Teeth Images Oralcarepro Blackdentalhygienist Sensitive Teeth Remedy Wisdom Teeth Funny Impacted Wisdom Teeth

Emergency Wisdom Tooth Removal What To Do Newmouth
Wisdom Teeth Dental Excellence

Wisdom Teeth Wellington Nz Third Molars
Wisdom Teeth Removal Wellington Oral Surgery
Wisdom Tooth Extraction Ardmore Dental Clinic

Wisdom Teeth Wellington Nz Third Molars
Wisdom Tooth Extraction Impacted Wisdom Teeth Removal Albany

Wisdom Teeth Sydney Wisdom Teeth Removal Cost Wisdom Teeth Removal Wisdom Teeth Removal Cost Wisdom Teeth

Pin On Dental Comics From Pbhs

Pericoronitis In 2021 Wisdom Tooth Infection Tooth Infection Wisdom Teeth

Lazy Wisdom Tooth With Images Wisdom Teeth Dental Fun Teeth Humor






Post a Comment for "How Much Does It Cost To Get Wisdom Teeth Removed Nz"